胚胎图

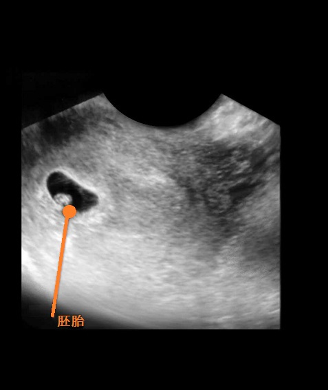
B超图

三维图
这个星期胚胎在你的子宫里迅速地成长,能够觉察到怀孕的迹象了。你是不是开始发觉自己变得慵懒,总觉得睡不够,在白天也感到昏昏欲睡,就连说话都觉得是件费劲的事情,更别说做家务啦,只是希望能够静静地呆在家里。懒懒的你也不会有出外旅行的想法,突然想运动了,一定要注意是否恰当,不能做过于激烈的运动哦!
胎儿发育
进入怀孕第6周后,在你的子宫里,胚胎正在迅速地成长,他(她)的心脏已经开始划分心室,并进行有规律的跳动及开始供血。这周的细胞还在迅速地分裂,主要器官包括初级的肾和心脏的雏形都已发育,神经管开始连接大脑和脊髓,原肠也开始发育。
胚胎的上面和下面开始长出肢体的幼芽,这是将来孩子的手臂和腿。日后将形成嘴巴的地方的下部,有一些小皱痕,它最终会发育成脖子和下颌。在本周面部的基本器官已经开始成形,已经能清晰地看到鼻孔,眼睛的雏形也已经具备。
妈妈的变化
你的身体已经开始发生变化,怀孕的症状也出现了——由于雌激素与孕激素的刺激作用,你的胸部感到胀痛、乳房增大变软、乳晕有小结节突出,你会时常疲劳、犯困而且排尿频繁。在这个星期你会像大多数孕妇一样,有恶心的感觉,有时候不仅是在早晨,整个一天你都会随时呕吐。
现在你的情绪可能会波动很大,有时会很烦躁,但是应该注意的是,早孕的6~10周,是胚胎发育的关键时期,如果你的情绪过份不安,会影响胚胎的发育。因此,要继续补充含有叶酸和微量元素的食物,在怀孕三个月之内,补充孕早期营养的工作是一定要坚持的!
特别提示:早晨你可以在床边准备一杯水,或一小块水果,它们会帮你抑制强烈的恶心感。
孕期保健
建议你尽量保持愉悦的情绪,饮食习惯改为少量多餐,不想吃东西时无须勉强进食,过了一段时间自然就会好转。
孕期检查
在孕早期见红(小便后在内裤或卫生纸上发现少量血迹)和出血是很常见的现象,但有时这却可能是流产或宫外孕的先兆。如果出现见红或出血的症状,一定要去医院检查。
孕期营养
如果你有晨吐症状,早晨你可以在床边准备一杯水,或一小块水果,它们会帮你抑制强烈的恶心。比如芦笋、鳄梨、甜菜根、黑豆、哈密瓜。